A Surprising and Critical POCUS Finding in a Young Patient with Hematuria
Case Presentation
A 27-year-old male presented to urgent care with a one-week history of intermittent right testicular pain associated with right low back, flank, and right lower quadrant discomfort. He reported a sensation of incomplete bladder emptying after urination and had noted one day of gross hematuria the day prior. He denied fever, dysuria, trauma, or constitutional symptoms. His past medical history was unremarkable.
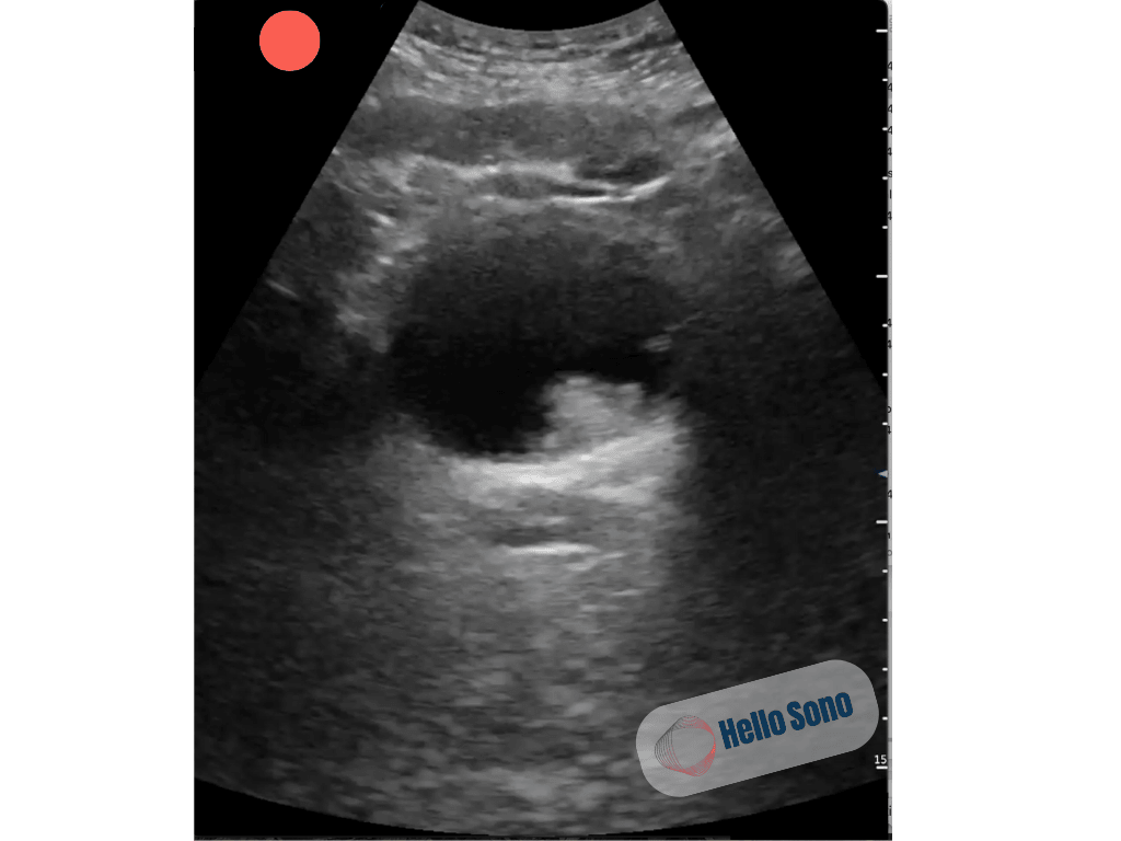
On exam, he was afebrile and well appearing, with mild right lower quadrant and flank tenderness. No palpable masses or scrotal abnormalities were appreciated. His prostate exam was normal. Given his urinary complaints, the provider performed a point-of-care ultrasound (POCUS) of the bladder and kidneys to evaluate for urinary retention and renal colic. A transverse view of the bladder is shown below.
What do you see, and what’s the diagnosis?

Figure 1. This ultrasound image shows a transverse view of the bladder. Instead of an anechoic (black), smooth-walled bladder, an irregular hyperechoic mass can be seen protruding into the bladder lumen near the left ureterovesical junction.
POCUS Findings
The ultrasound clip reveals a hyperechoic, irregular intravesical mass, suspicious for a bladder malignancy.
What a Normal POCUS Should Show
In a healthy individual, bladder POCUS shows a symmetric, anechoic lumen with thin, smooth walls and no intraluminal masses.

Figure 2. An ultrasound image of a normal bladder with smooth contours and no echogenic intraluminal structures.
Evidence
Bladder cancer is uncommon in young adults, with the incidence of bladder cancer in adults aged 20–39 years in the United States being 0.2 per 100,000 person-years. [1] It often presents with intermittent hematuria or vague urinary symptoms. [2] Early detection is crucial, as delays in diagnosis correlate with more advanced disease and poorer outcomes.
The American College of Radiology notes that while ultrasound (including POCUS) is not the primary modality for bladder cancer staging, it is useful for evaluating hematuria and identifying bladder masses, with an overall sensitivity of 63% and specificity of 99% for cancer detection in patients with gross hematuria.[3] The sensitivity of conventional grayscale ultrasound increases above 90% for masses >5mm. [4-5].
For urgent care and primary care clinicians, this means that although POCUS is not designed for cancer detection, when obvious pathology is present, it can serve as an important trigger for expedited diagnostic evaluation and referral.
Discussion
This case shows how POCUS, though typically used to answer focused clinical questions such as evaluating for urinary retention, can sometimes uncover important incidental findings that alter management. In this scenario, what began as a search for retention and renal colic instead revealed a bladder mass, leading to expedited workup.
POCUS offers important benefits in primary and urgent care: it provides immediate bedside information, reduces delays associated with outpatient imaging, and integrates seamlessly with the physical exam to help refine the differential.
At the same time, its limitations must be acknowledged. POCUS is a focused tool rather than a comprehensive imaging modality, and it is not validated for cancer screening. Subtle or small lesions may be missed, and any concerning findings should prompt confirmatory imaging with CT, MRI, or comprehensive radiology ultrasound. Finally, image acquisition and interpretation are operator-dependent and require appropriate training. The key takeaway is that POCUS does not replace comprehensive imaging, but it can uncover the unexpected and accelerate care when pathology is obvious.
For clinicians interested in how to integrate POCUS into practice more broadly, a practical roadmap for adoption, centered on compliance, credentialing, and quality assurance, is outlined in A Proven Strategy for POCUS Adoption.
Other Unexpected Malignancies on POCUS
While not a screening tool, POCUS may sometimes reveal cancers when scanning for other indications. These include renal cell carcinoma, hepatocellular carcinoma or liver metastases, ovarian tumors, testicular cancer, thyroid malignancy, and lung cancer with malignant effusion. In all cases, these findings are incidental to a focused scan but can significantly accelerate workup and referral.
Case Resolution
The patient’s bladder mass was incidentally detected during a POCUS exam in urgent care that was initially performed to evaluate for urinary retention and renal colic. A CT scan obtained a few days later was consistent with a transitional cell carcinoma at the left ureterovesical junction. The patient was promptly referred to urology for cystoscopy and further staging. This incidental finding helped avoid potentially significant delays in diagnosis and treatment.
Impact of POCUS
In this case, POCUS helped the urgent care provider make a quicker decision, avoid an unnecessary ED transfer, and promptly initiate referral. Most importantly, it allowed immediate action when an unexpected and concerning finding appeared.
Conclusion
In this case, a 27-year-old man with vague urinary complaints underwent a bladder POCUS that incidentally revealed a mass. This led to expedited imaging, referral, and diagnosis of bladder cancer. By shortening the time to diagnosis, POCUS may have meaningfully changed the patient’s outcome, underscoring its focused role and its ability to uncover the unexpected.
References
- Palumbo C, Pecoraro A, Rosiello G, et al. Bladder cancer incidence rates and trends in young adults aged 20-39 years. Urol Oncol. 2020;38(12):934.e11-934.e19. doi:10.1016/j.urolonc.2020.06.009
- Lenis AT, Lec PM, Chamie K, MSHS M. Bladder Cancer: A Review. JAMA. 2020;324(19):1980–1991. doi:10.1001/jama.2020.17598
- Expert Panel on Urological Imaging, Barker SJ, Soylu E, et al. ACR Appropriateness Criteria® Pretreatment Staging of Urothelial Cancer: 2024 Update. J Am Coll Radiol. 2024;21(11S):S464-S489. doi:10.1016/j.jacr.2024.08.022
- Francica G, Bellini SA, Scarano F, Miragliuolo A, De Marino FA, Maniscalco M. Correlation of transabdominal sonographic and cystoscopic findings in the diagnosis of focal abnormalities of the urinary bladder wall: a prospective study. J Ultrasound Med. 2008;27(6):887-894. doi:10.7863/jum.2008.27.6.887
- Kocakoc E, Kiris A, Orhan I, Poyraz AK, Artas H, Firdolas F. Detection of bladder tumors with 3-dimensional sonography and virtual sonographic cystoscopy. J Ultrasound Med. 2008;27(1):45-53. doi:10.7863/jum.2008.27.1.45
Acknowledgment
The author would like to thank Jacob Sosa, PA, for contributing the case details and ultrasound images to Hello Sono.
About the Author
Dr. Havryliuk is an emergency physician with over 15 years of clinical point-of-care ultrasound (POCUS) experience, a past Emergency Ultrasound Director at Brooklyn Hospital in NY, and the founder of Hello Sono. She is on a mission to empower clinicians with POCUS to take better and more efficient care of their patients by addressing two key barriers, lack of competency and infrastructure.
LinkedIn: https://www.linkedin.com/in/tatiana-havryliuk-md/
Email: [email protected]
*POCUS images and graphics provided courtesy of Hello Sono.